お問い合わせ・ご予約はこちら 0296-25-1662
© 2021 筑西市の歯医者|髙野歯科医院

Perio aesthntic歯周審美治療

「歯周病専門医」による
歯周審美治療

歯周審美治療とは

歯周審美歯科治療とは、「歯の色」「歯の形」「歯並び」を美しくするための治療と認識されています。

しかし実際には、前述のように「美しい歯肉(歯茎)」が美しい口元には必須です。この「美しい歯肉」の回復こそが歯周病専門医としての主たる分野です。

写真のケースは他院にてセラミックによる自費治療をされていますが歯肉のライン、歯の形も不揃いで、とても審美的によい状態とは言えません。

歯周審美歯科

歯周病患者に対する審美歯科治療

日本人(成人)の約80%が、程度の差こそあれ歯周病にかかっていると言われています。また、歯周病は痛みがなく進行するSilent Disease(沈黙の病気)と言われています。歯周病治療をせずに修復・補綴治療を行うことは、基礎工事をせずに家を建てるに等しく、せっかくきれいなかぶせ物を入れても長持ちしません。

審美的な歯肉(歯茎)の獲得

歯周審美治療は、詰め物・かぶせ物を装着するだけではありません。歯並びの悪さ、あるいは矯正治療や過度なブラッシング等に伴う歯根の露出は歯肉のバランスを崩し、審美性の低下を抱きます。

そのような時、威力を発揮するのが「歯周形成外科:Periodontal Plastic Surgery(PPS)」です。

女性

歯周形成外科とは歯肉の位置を移動したり、歯肉結合組織等を移植したりすることにより、歯肉のバランスを整える手法です。歯周形成外科と補綴処置(かぶせ物)とを組み合わせた参考例です。

術前

術後

歯周形成外科は非常に高度な技術を必要とします。またこの工程は歯周病専門医が非常に得意とする分野でもあります。歯肉の美しさも兼ね備えた最高の美を求める方は一度当院にご相談ください

2万円からできる
ガミースマイル治療

※本数や治療によって料金が変動することがあります

※本数や治療によって料金が変動することがあります

ガミースマイルについて

症状

笑った時に歯ぐきが目立つ状態を「ガミースマイル」と言います。「笑うと歯ぐきが見えてしまうので口元を隠してしまう」「自信を持って笑えない」などの悩みを抱えている方も多いと思います。

美容外科などで治療を行なったが、満足な結果が得られず当院に駆け込まれる方を拝見すると正しい診断がくだされず治療をされたケースを見かけます。歯周病専門医でのエビデンスに基づいた診断を受けることをお勧めします。

ガミースマイル

原因

ガミースマイルには5つの原因があると言われています。

  • 1:歯の萌出遅延
  • 2:骨格的な異常
  • 3:歯肉増殖症
  • 4:唇の過度な動き
  • 5:唇の薄さ

これら1つのみが原因の方もいれば2つ以上の原因が複合している方もいます。それぞれについて参考ケースを下記に提示します。

治療方法

治療法は5つの原因それぞれによって違います。1つ目の歯の萌出遅延については歯肉や骨を削除するだけの1回の治療で改善が期待できます。

2つ目の歯肉の病的な異常については歯周病治療が必要になります。3つ目の口腔周囲の筋肉の異常についてはボトックス治療やマッサージ、などで改善します。4つ目の口唇の厚みの異常については矯正治療や歯周形成外科治療で改善します。5つ目の骨格的な顎骨の異常は骨切り手術や矯正治療にて改善します。

それぞれの状態によっても治療法が異なるので一度相談にいらっしゃってください

下がった歯茎(根面被覆)

下がった歯茎(根面被覆)について

解説

歯肉退縮とは歯の周りの歯ぐきが本来の位置よりも下がってしまい歯根(黄色の部分)が露出してしまう状態のことです。 歯肉退縮により知覚過敏(しみる)が生じたり、歯が長くなるので見た目が悪くなります。 下のケースでは歯ブラシのやり過ぎにより歯ぐきが下がってしまっていました。

  • 治療例
  • 治療例
  • 治療例

歯肉退縮は日本では治療をされずそのまま経過観察されるケースが多いですが、放置しておくとこのようにどんどん歯肉は退縮していきます。 このような状態になってしまうと歯が自然に抜けてしまいます。 しかしながら早い段階で治療すれば歯肉退縮は治すことができます。

治療

原因

ガミースマイル同様に下がった歯茎(根面被覆)にも5つの原因があると言われています。

治療方法

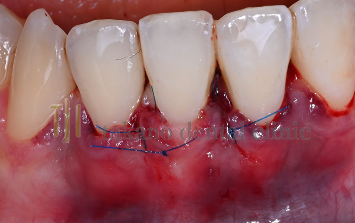
下がった歯ぐきを治療するためには歯周形成外科治療が必要になります下がった歯ぐきを治療するためには歯周形成外科治療が必要になります。外科治療には遊離歯肉移植術、結合組織移植術、歯肉弁歯冠側移動術といった手術をおこないます。

もともと日本人は歯の周囲の骨や歯ぐきが薄い方が多く、歯ぐきが下がるリスクが欧米人に比べ非常に高いです。将来的に歯ぐきに厚みを持たせることによりさらなる歯肉退縮を予防でき歯の寿命を伸ばすことができます。

治療方法

治療法

結合組織移植術

case01

  • 術前
    治療例
  • 術中
    治療例
  • 術後
    治療例

case02

  • 術前
    治療例
  • 術中
    治療例
  • 術後
    治療例

どのような場合の治療法か

ほぼ全てのケースで行うことができます。上あごから結合組織(歯ぐき)を採取して移植するので取れる歯ぐきの量によっては1度で全てを治療できないことがあります。その場合歯ぐきが再生するのを待って何度か手術を行うことで改善していきます。

人工の歯肉移植

術前

術後

術中

コラーゲン材料

どのような治療法か

上あごから歯ぐきを取らずにコラーゲン材料を用いて歯ぐきを再生させて治す方法なので比較的体の負担が少なくてすみます。

費用

1ブロック約200,000円

遊離歯肉移動術

  • 術前

    治療例
  • 術中

    治療例
  • 術後

    治療例

どのような治療法か

上あごから上皮のついた歯ぐきを採取して移植する方法です。結合組織に比べてたくさんの歯ぐきを採取でき一度に広範囲の手術が可能です。しかし術後の歯ぐきの色が悪くなることが多く審美領域(前歯)などではおこなわないことが多い治療法です。

ガミースマイル

クラウンレングスニング

  • 術前
    治療例
  • 術中
    治療例
  • 術後
    治療例

Lip repositioning technique

  • 術前
    治療例
  • 術中
    治療例
  • 術後
    治療例