トップ
Top
当院の特徴
Feature
ドクター紹介
Doctor
診療メニュー
Menu
初めての方へ
First Time
アクセス
Access
お問い合わせ・ご予約はこちら
0296-25-1662
© 2021 筑西市の歯医者|髙野歯科医院
ホーム
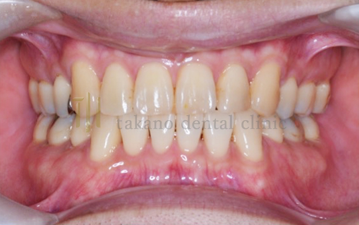
矯正の症例
反対咬合の症例
Occlusion
反対咬合の症例
症例集
Case1.
治療前
治療後
Menu